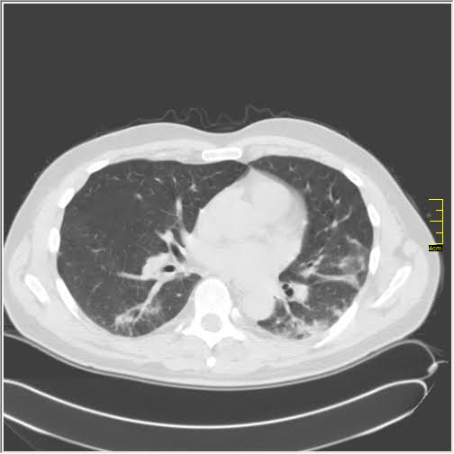
CT nalazi kod kovida-19
Vraćam se na svoju usku struku (da ne bude da se mešam u tuđu). Kompjuterizovana tomografija, skener ili CT je metoda pregleda koja je superiorna kod zapaljenskih bolesti pluća. Kod kovida-19 se pokazala kao nezamenjiva u diferencijaciji u odnosu na ostale bolesti. Tačnost nalaza na plućima je visoka.
Šta mi to možemo videti i kako tumačimo?
Stvari koje pratimo su:
- Ground glass konsolidacije (GGO). To su one bele "mrlje" na snimcima koje su karakteristične za ovu bolest. Nazivaju se "ground glass" svuda. Izgledaju kao da se taj deo pluća gleda kroz mlečno staklo, kao neka vrsta mikromozaika
- Crazy paving. To su linearna zadebljanja koja se nekada vide u ground glass konsolidacijama. Ona nastaju kasnije, ne javljaju se pre GGO. Neko ih opisuje kao da pijani majstori slažu pločice. Na slikama se to vidi kao nepravilna zadebljanja unutar GGO, složena bez ikakvog reda
- Vaskularne dilatacije. Dolazi do zapaljenskog procesa krvnih sudova i/ili do zastoja tako da su nam na snimcima krvni sudovi "deblji".
- Trakcione bronhiektazije. To su proširenja vazdušnog prostora (ali ne onog koji učestvuje u disanju) koja nastaju kada stradaju alveole i proširuje se prostor između njih
- Arhitektonske distorzije. Pojava traka blizu pleure koje nastaju propadanja plućnog tkiva i nastanka fibroznog.
Svaki od ovih znaka se može javiti i kod drugih bolesti ali svi zajedno su specifični za kovid-19
Da bi objasnili stanje koristimo Severity Score. On služi za procenu ozbiljnosti bolesti. Pluća se sastoje od pet lobusa. Procenjuje se svaki pojedinačno ocenama od 0 do 5. To znači da se skor kreće od 0 do 25.
0 - znači da nema GGO konsolidacija
1- znači da je manje od 5% tog lobusa zahvaćeno
2 - znači da je zahvaćeno od 5 do 25% tog lobusa
3 - znači da je zahvaćeno 26 do 50% tog lobusa
4 - znači da je zahvaćeno 51 do 75% tog lobusa
5 - znači da je zahvaćeno više od 75% tog lobusa
Na CT razlikujemo 4 faze (najčešće ali nije decidirano tako)
Rana faza (0 do 4. dan) - pojedinačne GGO, neka crazy paving, nizak skor
Progresivna faza (5. do 8. dan) - povećanje broja GGO i crazy paving
Pik faza (10. do 13. dan) - javljaju se konsolidacije pluća, to znači da veliki delovi pluća izgledaju kao velike bele površine a označavaju delove pluća koji su masa koja koja je u celini zahvaćena zapaljenskim procesom
Faza rezolucije (posle 14. dana) - vraćanje delova pluća u normalu ili smrt
Iskustveno smo došli do skora 15 koji predstavlja neku granicu između verovatno dobrog i verovatno lošeg ishoda. Samo tumačenje zavisi od faze bolesti. Naš nalaz je samo deo procene i ne menja laboratorijske i pulmološke, kao ni ostale. Svaki nalaz zajedno daje ukupnu sliku bolesti.
Nalaz je u
88% slučajeva sa obe strane,
88% ground glass,
80% posteriorno,
79% multilobularno,
76% periferno i
30% konsolidacije







Коментари
Постави коментар
Već više od godinu dana Google ne dozvoljava da komentarišem. Tako ne mogu da odgovorim. Zbirni odgovor za sve šarlatane, nadridoktore, mrzitelje ljudskog roda: "Jedino što umete je mržnja. Žalite se onom koga vidite u ogledalu, naučite nešto, smešno izgledaju vaši komentari i prilično bedno."