Razlika u CT slici između omikrona i ostalih sojeva
Od početka se trudim da nađem neke fine razlike među sojevima. Nije to baš onako kako se zamišlja da neko kao nožem preseče pa smo do danas imali jedan soj a od sutra drugi. Uvek ima gomile podvarijanti. Za omikron imamo već tri dokazane podvarijante.
Karakteristično kod omikron soja je da ide udružen sa HCoV-229E, koji je virus iz iste grupe koronavirida. To nije ništa novo niti čudno, isti virus je čest pratilac gripa. Sam po sebi nije opasan ali izaziva uporan dugotrajni kašalj, što u kombinaciji sa težim oblikom kovida-19 može izazvati pucanje alveola i plućne maramice a time stvoriti komplikacije tipa pneumotoraksa i pneumomedijastinuma koje prilično ugrožavaju život pacijenta.
Za svaki soj sam pisao, nastavljam tamo gde sam stao kod zadnjeg soja koji sam opisivao a za koji se još uvek nije znalo koji je, kasnije je proglašen deltom.
Krenulo je sa divljim sojem. Znamo da je i on imao svoje varijante. Ono što je bilo u samom početku kod nas je ličilo na samu osnovu.
Neki međusoj je bio u leto 2020
Decembar i januar je dominirao alfa soj. Kada se pogledaju njegove slike vidi se razlika u odnosu na divlji a blizu je onoga koji je bio u leto 2020. godine.
Ono što je karakteristično je to da su ovo nalazi koji su 2. i 3. dana bolesti u I fazi. Znači ne u progresivnoj, već u uvodnoj fazi kada uglavnom nema CT znaka. Fibrozne trake već drugog dana. Ground glass oko većih grana bronha. Kao da bolest ne može da sačeka, kao da klija gde stigne.
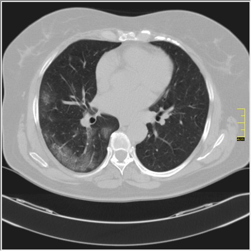
Trenutno je dominantan omikron soj. Činjenica je da nemam onoliko pacijenata kao kod alfa soja, ali počinju da dolaze.
Da ne poredim više sa divljim sojem, omikron se ponaša prilično profilisano, ako je to najadekvatniji izraz koji se može primeniti. Pravi fibrozu kao delta soj, skoro odmah. Osnovna razlika je u izgledu ground glass promena i njihovoj distribuciji.
Možemo da zapazimo pravilnosti u slici, nema dominantno bazalne distribucije, ravnomerno se razvija u svim delovima pluća ali ipak blisko uz pleuru. To ga čini teško vidljivim na rdg snimcima. Fibroza ide odmah. Limfni nodusi nisu uvećani kao kod alfa soja, krvni sudovi reaguju samo u zahvaćenim područjima, kod dosadašnjih, posebno alfa i delta, reagovali su svuda.
Očuvana je dinamika bolesti. Ovo su nalazi kod nevakcinisanih. Do sada nisam imao CT preglede vakcinisanih a obolelih, što još uvek ne govori ništa pouzdano ali ako nastavi kao trend onda će biti jasno.
Moram da se osvrnem na "modu" kod nas, prosto se pitam da li je to neki zvaničan stav - pacijenti mi govore da im je rečeno da nikako ne rade CT pregled, jer je to nepotrebno. Po ovome što vidim od nalaza, na rdg se ne vidi ili se vidi kasno. Znam za brojne slučajeve preminulih gde su laboratorija i CT urađeni prekasno ili nisu rađeni uopšte (mislim na CT).
Kao posledicu izostanka krucijalne dijagnostike imamo ovakva stanja:



Коментари
Постави коментар
Već više od godinu dana Google ne dozvoljava da komentarišem. Tako ne mogu da odgovorim. Zbirni odgovor za sve šarlatane, nadridoktore, mrzitelje ljudskog roda: "Jedino što umete je mržnja. Žalite se onom koga vidite u ogledalu, naučite nešto, smešno izgledaju vaši komentari i prilično bedno."