Napredovanje kovida-19. Stanje nakon 4 dana
Danas ću se više posvetiti slikama. Za one koji žele gledati slike. Kažu da slika govori više od hiljadu reči. Ne znam. Nekima verovatno da. Nekima će se između dva pića pričinjavati morgeloni. Što ne govori o istini, više o kvalitetu pića.
Ne vidim neki razlog za obzir i finoću. Oni koji direktno ugrožavaju druge svojim bezumljem ne zaslužuju ništa dobro. Neko je na pitanje - "A kako ja nevakcinisan ugrožavam tebe vakcinisanog?" odgovorio , možda grubo, ali, iskreno tačno - "Prvo me ugrpžavate svojom glupošću i bezumljem." Tako i ja, svakoga dana izgubim par sati pokušavajući da objasnim da su 2+2=4. Najobičnija osnova razuma. Ništa više od toga nije potrebno.
Pacijent prvi put dolazi 3 dana nakon pojave simptoma a dva dana nakon pozitivnog testa. Ima temperaturu koja tek prelazi 37. Ne kašlje, testirao se kao kontakt. Oseća mirise i ukuse. Po laboratoriji pulmolog koji ga je pregledao misli da je moguće da se radi o nekom novom soju. Nije vakcinisan. Nije ni antivakcinaš. Jednostavno je mislio da sačeka.
Severity score 0/25. Najdraže mi je kada vidim to.
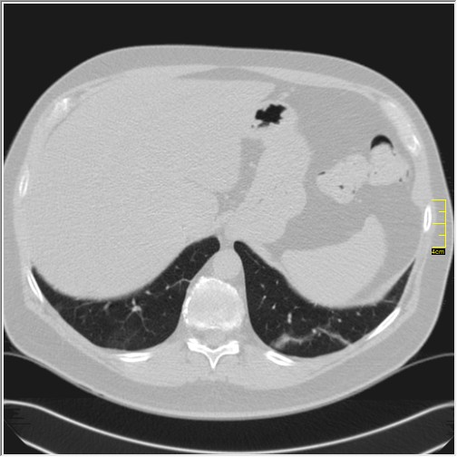
Četiri dana kasnije. Isti pacijent dolazi sa istim pulmologom. Situacija je sada sasvim drugačija. Temperatura 39.5C.Saturacija 92. Laboratorija daleko gora. Uradim CT pluća. Ovo je izašlo
Severity score 15/25. Pacijent je upućen na bolničko lečenje.
Ono što zbunjuje a to se ponavlja zadnjih 10 dana, je da fibroza nastupa u progresivnoj fazi, znači na početku bolesti. Toga nije bilo do sada. Sledećih dana ću o tome.
Ovo je samo 4 dana. Od zdravlja do teške bolesti. Pacijent je 45 godina starosti, očigledno nije povećane težine, kaže za sebe da je bio sportista. U anamnezi nije naveo nikakve bitne bolesti.




Коментари
Постави коментар
Već više od godinu dana Google ne dozvoljava da komentarišem. Tako ne mogu da odgovorim. Zbirni odgovor za sve šarlatane, nadridoktore, mrzitelje ljudskog roda: "Jedino što umete je mržnja. Žalite se onom koga vidite u ogledalu, naučite nešto, smešno izgledaju vaši komentari i prilično bedno."