Kovid-19 kod mladih. Novi sojevi
Uporni pokušaji da se predstavi da je kovid-19 bolest koja napada starije i od koje umiru stariji i bolesni, dovodi do toga da se oni koji su mladi ne štite dovoljno. Čak dovodi do nekog osećaja superiornosti koji je nadasve pogrešan.
Da vidimo šta kaže statistika Johns Hopkins bolnice koja je neki od repera u medicini. Od 3000 osoba koji su u uzrastu od 18 do 34 godina starosti i koje dođu u kontakt sa virusom da bi se razboleli dovoljno, čak 21% završi u intenzivnoj nezi, 10% ide na invazivne ili neinvazivne respiratore i 2.7% umire. Među zaraženima je bar 20% mladih, ne računajući nove sojeve gde taj procenat raste.
Po Britancima, udeo mladih u bolničkom lečenju se popeo na čak 25%. Više bolesnih, po gornjoj formuli sa Hopkinsa, znači više mrtvih. Govorimo o osobama koje nemaju druge bolesti i nikako drugačije nisu ugrožene.
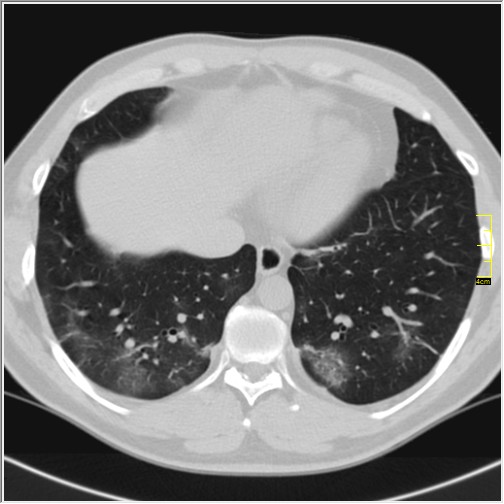
Kako sam radiolog moja nauka se izražava kroz slike. Ovo su pacijenti pregledani samo u jednom danu, godišta od 1991. do 1999.
Kao što sam rekao, slike govore sve. Ono što se razlikuje od ranijih pacijenata je obavezna hilarna limfadenopatija i gustina ground glass promena već u prvoj fazi. Ono što mi kliničari kažu je da ide sa visokom temperaturom, čak i preko 40 i da su svi simptomi izraženiji, sem gubitka čula mirisa i ukusa, koje je retko.




Коментари
Постави коментар
Već više od godinu dana Google ne dozvoljava da komentarišem. Tako ne mogu da odgovorim. Zbirni odgovor za sve šarlatane, nadridoktore, mrzitelje ljudskog roda: "Jedino što umete je mržnja. Žalite se onom koga vidite u ogledalu, naučite nešto, smešno izgledaju vaši komentari i prilično bedno."