Razlike u nalazima kod pušača, gripa H1N1 i kovida-19
Nedavno sam video u medijima da je neko preneo rdg sliku i razlike kod nalaza zdrave osobe, pušača i bolesnog od kovida-19. Kako nisam baš previše zadovoljan onim što je prikazano evo kako to izgleda u našoj varijanti.
Zdrava osoba.
CT nalaz kod zdrave osobe podrazumeva da ne postoje nikakvi poremećaji strukture plućnog parenhima, da su krvni sudovi uredni i da nema suženja disajnih puteva, kao i da nema uvećanih limfnih žlezda u hilusima pluća i medijastinumu
Zdrava muška osoba mesec dana nakon zapaljenja pluća tokom kovida-19. Nalaz bez nekih posebnih problema iako se naziru tragovi zapaljenja. Snimak u boji je zdrava osoba, nepušač, bez ikakvih bolesti pluća u istoriji.
Grip H1N1
Pokazaću samo drastične nalaze kod gripa H1N1, to je znači onaj grip koji je izazvao epidemiju Španske groznice i epidemiju 2009. godine koja još uvek nije prestala (svake godine imamo makar 15%).
Nisu svi pacijenti imali ovakve nalaze, pokazujem one koji su imali tešku kliničku sliku. Kod gripa se sve odvija obično u 7 dana. Kao što se vidi zapaljenje je bilo jednostrano, uglavnom. Ali, kada je dolazilo do pogoršanja onda je centralno obostrano dolazilo do edema pluća.
Pušenje
Kod pušača postoje razne varijante nalaza na plućima. U principu nisu tako dramatične kao što su zapaljenja. Nalaz na plućima kod pušača može biti potpuno normalan. Ovo ne pišem zato što podržavam pušenje, naprotiv, veliki sam protivnik ali iznošenje laži nikada nije dobro. Dve dijagnoze su bitne kao posledica pušenja. Prva je Hronična plućna opstruktivna bolest:
Jasna je razlika u nalazu, posebno na ovim slikama u boji, gde su ta plava polja delovi pluća koji su propali zbog cigareta (može da se uporedi sa zdravim plućima iznad.
Druga bolest koja je česta kod pušača je u svakom slučaju karcinom.
Tkivo koje raste unutar pluća i razjeda ga. Takav je nalaz kod karcinoma pluća. Često je uzrok upotreba cigareta.
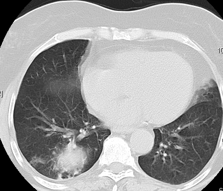
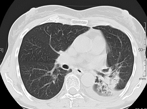
Kovid-19
O kovidu sam pisao puno puta. Evo nekih slika, radi poređenja
Nakon što pacijent bude izlečen od gripa ili kovida-19 pluća se mogu vratiti u normalu. To je razlika u odnosu na posledice upotrebe cigareta. Ovi snimci nisu postavljeni da bi se poredile bolesti, već da bi se ukazalo kako različite bolesti deluju na pluća. I ono što je veoma važno, ako neko dobije jednu od ovih bolesti, ne znači da u toku života neće dobiti drugu.




















Коментари
Постави коментар
Već više od godinu dana Google ne dozvoljava da komentarišem. Tako ne mogu da odgovorim. Zbirni odgovor za sve šarlatane, nadridoktore, mrzitelje ljudskog roda: "Jedino što umete je mržnja. Žalite se onom koga vidite u ogledalu, naučite nešto, smešno izgledaju vaši komentari i prilično bedno."