Tri talasa Kovida-19 - razlike u nalazima
Koliko je bilo talasa bolesti je stvar procene i dogovora. Bolest nikada nije stala, nije bilo perioda kada smo mogli da stanemo, reorganizujemo se, sagledamo sve aspekte. Bilo je samo razdoblja sa više ili manje pacijenata.
Ipak, kada sagledamo brojke i krive (koje, budimo objektivni, nisu potpuno tačne) možemo reći da je postojao prvi nalet bolesti, nazovimo ga prolećni, onda jedan međutalas, recimo letnji i sada uveliko traje najizraženiji do sada, koga možemo zvati jesenji a ako nastavi dodaćemo mu još i - zimski.
Analizirao sam nalaze koji su krenuli krajem februara sve do sadašnjih. Zapisao sam neke razlike i onda ih uporedio sa kolegama iz sveta (onima koji rade direktno sa pacijentima). Prilično se slažu da sam u pravu. Verovatno bi to trebalo uporediti sa sojevima ali je meni to nemoguće. Mislim da je uopšte kod nas to nemoguće.
I opet napominjem (izgleda moram stalno da ponavljam), ovo je blog, nije naučni rad (sve ovo će biti u formi rada tamo gde je mesto za radove) i radi se o iskustvima jednog lekara, jedne ordinacije, ne mora, nužno, da važi za ostale. Ovo je presek onoga što sam ja video.
I talas - proleće
Prvi pacijenti koji imaju nalaz koji se može svrstati u kovid-19 su se pojavili zadnjih dana februara. Sada već slobodno mogu reći da su njihovi nalazi imali neke karakteristike koje su drugačije od ostalih:
1. Većina pacijenata sa teškom kliničkom slikom je imala neku pridruženu bolest. Kovid-19 je iz prikrajka doprinosio smrti
2. CT nalaz je bio više mešavina nalaza kod H1N1, SARS-1 i MERS. Ground glass koje su se javljale su bile grube strukture, uglavnom bez crazy paving i sa težnjom da se brzo šire ka sredini i izazovu citokinu oluju. Trakcione bronhiektazije nisu dominirale ali je bilo znaka trakcije. Nije bilo puno vaskularnih zadebljanja
3. Komplikacije nakon bolesti su bile vezane za zamor i klasične oblike - bronhitis, COPD
II talas - leto
Sredina juna, iznenada, ničim najavljen, počinje priliv pacijenata sa kovidom-19. Čitam izjave da su naši vrhunski lekari iznenađeni. Kako sam samo običan lekar nisam bio iznenađen. Podosta nas (lekara i nelekara) je upozoravalo da virus tokom leta neće stati. Razlika je samo u tome da se manje vremena provodi u zatvorenom prostoru. Šta vidim kod pacijenata (pa i svoje dece i sebe):
1. Dominiraju brojne ground glass koje su bile fine strukture, kada se posmatraju liče na paukovu mrežu. One grube strukture iz prvog talasa se retko viđaju. Retke su i crazy paving ali je značajno više tromboembolija, srčanih udara i krvarenja u mozgu.
2. Više je pacijenata koji imaju višak kilograma ali nema više kovida toliko kod karcinoma
3. Komplikacije koje ostaju su češće vezane za promene u mozgu nego za sama pluća. Od tegoba su prolivi i povraćanja daleko češći
III talas - sada
Krenulo je novembra ali decembar dominira. Sve što se desilo do tada je ništa u odnosu na ovo. Nema vremena za brojanje, mnogo slučajeva nije prijavljeno, mrtvih je daleko više (statistika tako govori, novembar je povećanje broja umrlih veće od 35%).
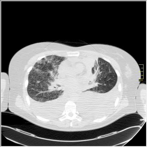
1. Dominira nalaz koji je klasičan, školski. Kod pacijenata bukvalno može u dan se vidi stanje koje školski odgovara drugim pacijentima. Na CT mogu kod svakog pacijenta da kažem tačno koja je faza bolesti i koja je prognoza
2. Prisutne su vrlo fine strukture ground glass, u II fazi su obavezne crazy paving, prisutne su trakcione bronhiektazije, subpleuralne fibrozne trake. Sve kao po švajcarskom satu. Naravno, stanje nije isto kod različitih pacijenata ali je prilično pravilno
3. Daleko manje je povraćanja i proliva, manje je tromboza i krvarenja u mozgu. Pacijenti su mlađi.
Za neku dublju analizu bi bilo potrebno uporediti genome koji su dominantni. Mislim da to kod nas niko ne prati. Navodi se u medijima da postoje novi sojevi u Britaniji i Nigeriji, kao verovatno i u Južnoj Africi, ali još nisam video nalaze na CT (očekujem ih ovih dana)







Коментари
Постави коментар
Već više od godinu dana Google ne dozvoljava da komentarišem. Tako ne mogu da odgovorim. Zbirni odgovor za sve šarlatane, nadridoktore, mrzitelje ljudskog roda: "Jedino što umete je mržnja. Žalite se onom koga vidite u ogledalu, naučite nešto, smešno izgledaju vaši komentari i prilično bedno."