Rdg ili CT kod kovida-19
Kovid-19 daje obostrana zapaljenja pluća. Najbolji način da se detektuju su radiološki pregledi. Imamo izbor između klasičnog rendgenskog snimka (Rdg) i kompjuterizovane tomografije (CT). Jedna kompanija uveliko reklamira MR koji ima dodatke i softver za pregled pluća ali je to daleko od široke primene.
Koja je razlika između Rdg i CT snimanja
Kod Rdg pacijent stoji grudima oslonjen na film. X-zraci dolazi sa leđa. Rdg cev je udaljena 150 cm. Pacijentu kažemo da udahne i zadrži dah. Snimanje traje oko 0.4 sekunde (68kV i 64mAs). Lako je dostupan, jeftin.
Kod CT snimanja pacijent leži na leđima i sto ga uvlači u aparat (ili izvlači, stvar izbora, ne utiče na sliku). Cev ide u krug oko pacijenta a x-zrake, koji prođu, detektuju xenonski detektori (ima i drugih ali nije bitno za priču). Snimanje traje oko 15 sekundi (120kV i 320mAs). Nema ga svuda, skup, čeka se na pregled.
U oba slučaja govorim o nekim prosečnim vrednostima koje se razlikuju od aparata do aparata.
Na Rdg dobijamo dvodimenzionalnu sliku na kojoj se u jednoj tački (ili jednom pixelu) vidi skup svih tačaka od kože leđa, potkožnog tkiva leđa, mišićnog tkiva leđa, kostiju, plućnog tkiva čitavom dužinom, disajnih puteva i krvnih sudova, mišićnog tkiva prednjeg zida, potkožnog tkiva prednjeg zida, kože napred (kod žene i dojki). Sve to ulazi u jednu tačku koja se vidi na dvodimenzionalnom snimku.
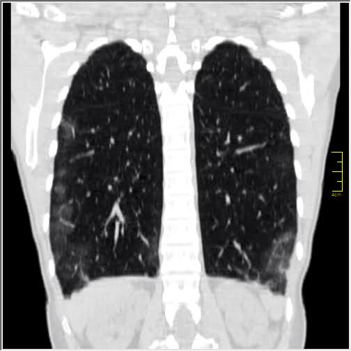
Na CT dobijamo trodimenzionalnu sliku koja nam pokazuje svaku tačku tamo gde se stvarno nalazi.
Šta kod kovida-19
Kovid-19 dolazi sa "paučinastim" konsolidacijama (ono što je bele boje na grafiji, vazduh je crne boje. Što više vazduha crnja slika, što gušće tkivo belija slika). Ako su izražene "crazy paving", ako je izraženije zapaljenje, ako ima fibroznih traka, ako ima konsolidacija, onda će se one videti i na Rdg. Problem je kada ih nema, onda kada je potrebno da damo prognozu o daljem toku lečenja.
Pacijentkinja čije slike pokazujem (53) je prvo grafirana (Rdg) a nakon toga je urađen i CT pregled. Razlog za CT je bilo prisustvo izražene kliničke slike koja nije imala potvrdu na Rdg.
Na ovoj grafiji, ni uz pomoć mašte, nema elemenata zapaljenja pluća.
Prepoznajete ga već kao beline u sivom delu slike.
I dalje se na grafiji ne vidi. Šta smeta? Rebra i mišići. Zapaljenje nema takvu gustinu da bi se videlo na grafiji.








Коментари
Постави коментар
Već više od godinu dana Google ne dozvoljava da komentarišem. Tako ne mogu da odgovorim. Zbirni odgovor za sve šarlatane, nadridoktore, mrzitelje ljudskog roda: "Jedino što umete je mržnja. Žalite se onom koga vidite u ogledalu, naučite nešto, smešno izgledaju vaši komentari i prilično bedno."