Kako izgleda kovid-19 na CT skenovima
Slede snimci mojih pacijenata. Imena su uklonjena. Tu ima svega i svačega. Nešto je rađeno pre nego je utvrđena bolest, nešto u toku bolesti a neki su kontrolni nakon izlečenja. Napominjem da ima skenova i ljudi koji su preminuli ali i onih koji su čudesno izlečeni.
Sve ovo će biti objavljeno i kao poseban rad na sledećen Evropskom Radiološkom kongresu a kasnije i na Pulmološkom.
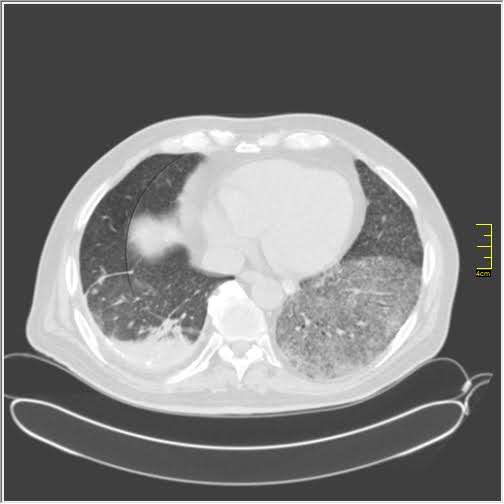
Pacijent sa malignim oboljenjem i kovidom-19. Obostrano bazalno.
Kardiološki pacijent sa kovidom-19
Stanje nakon kovida-19.
Ovo je stanje nakon kovida-19, nimalo dobar nalaz.
Ovo je da bi se videlo kako izgleda stanje pluća kod onih koji su oboleli. Znam da će plaćeni botovi odmah krenuti u napade i omalovažavanja. Plaćeni su da to rade, šta drugo očekivati od njih, buba švabe će uvek biti samo buba švabe.
To što lažete da nema bolesnih i da je sve izmišljeno neće ozdraviti ove ljude, niti će vratiti mrtve, ali šta je to vas briga, obraz kao đon premazan fekalijama. No, živimo u nadi da nećete osetiti "čari" kovida-19, ne želim vam, čak ni vama to ne želim.




Коментари
Постави коментар
Već više od godinu dana Google ne dozvoljava da komentarišem. Tako ne mogu da odgovorim. Zbirni odgovor za sve šarlatane, nadridoktore, mrzitelje ljudskog roda: "Jedino što umete je mržnja. Žalite se onom koga vidite u ogledalu, naučite nešto, smešno izgledaju vaši komentari i prilično bedno."